Tủy răng bị thối gây nguy hiểm gì đến sức khỏe tổng quát?
Nha Khoa Shark xin chia sẻ những thông tin quan trọng về tình trạng tủy răng thối, một vấn đề nha khoa phổ biến nhưng tiềm ẩn nhiều nguy hiểm. Hiểu rõ về tủy răng thối và tác hại của nó sẽ giúp bạn chủ động hơn trong việc bảo vệ sức khỏe răng miệng của mình.
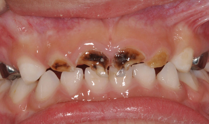
Tủy Răng Thối Là Gì?
Tủy răng thối, hay còn gọi là viêm tủy răng hoại tử, là tình trạng mô tủy bên trong răng bị nhiễm trùng nghiêm trọng và chết đi do vi khuẩn tấn công. Tủy răng là phần mềm nằm ở trung tâm của răng, chứa các mạch máu và dây thần kinh, có vai trò nuôi dưỡng và cảm nhận các kích thích. Khi tủy bị viêm và không được điều trị kịp thời, vi khuẩn sẽ phát triển, làm hoại tử mô tủy và gây ra nhiều biến chứng nguy hiểm.

Nguyên Nhân Gây Tủy Răng Thối
Có nhiều nguyên nhân dẫn đến tình trạng tủy răng thối, trong đó phổ biến nhất là:
Sâu Răng Không Điều Trị Kịp Thời
Đây là nguyên nhân hàng đầu. Khi sâu răng tiến triển đến mức độ nghiêm trọng, vi khuẩn sẽ xâm nhập vào ngà răng, sau đó đi sâu vào buồng tủy, gây viêm nhiễm. Nếu không được điều trị, viêm nhiễm sẽ lan rộng và phá hủy mô tủy, dẫn đến hoại tử.
Chấn Thương Răng
Những chấn thương như va đập mạnh, gãy răng, hoặc nứt răng có thể làm lộ tủy hoặc cắt đứt nguồn cung cấp máu đến tủy, khiến tủy bị chết và hoại tử.
Bệnh Lý Nha Chu Nghiêm Trọng
Viêm nha chu nặng có thể khiến vi khuẩn từ túi nha chu xâm nhập vào tủy răng thông qua các ống ngà nhỏ hoặc lỗ chóp chân răng, gây viêm tủy ngược dòng và dẫn đến tủy răng thối.
Thói Quen Nghiến Răng
Nghiến răng trong thời gian dài có thể làm mòn men răng, ngà răng, tạo điều kiện cho vi khuẩn xâm nhập và gây tổn thương tủy.

Tủy Răng Thối Có Nguy Hiểm Không?
Câu trả lời là CÓ, tủy răng thối cực kỳ nguy hiểm và không nên chủ quan. Nếu không được điều trị sớm, tủy răng thối có thể dẫn đến nhiều biến chứng nghiêm trọng, ảnh hưởng không chỉ đến sức khỏe răng miệng mà còn cả sức khỏe toàn thân.
Đau Nhức Dữ Dội Kéo Dài
Khi tủy răng bị thối, người bệnh sẽ cảm thấy đau nhức liên tục, âm ỉ hoặc dữ dội, đặc biệt là khi ăn nhai hoặc khi có kích thích nóng lạnh. Cơn đau có thể lan lên đầu, thái dương, gây khó chịu và ảnh hưởng đến sinh hoạt hàng ngày.
Áp Xe Răng Và Sưng Mặt
Vi khuẩn từ tủy răng thối có thể lan ra vùng xương hàm xung quanh chân răng, gây nhiễm trùng và hình thành mủ, tạo thành áp xe răng. Áp xe có thể gây sưng nề vùng mặt, má, hàm, kèm theo sốt và mệt mỏi. Đây là tình trạng nguy hiểm cần được điều trị khẩn cấp.
Mất Răng Vĩnh Viễn
Khi tủy răng bị hoại tử hoàn toàn, răng sẽ mất đi nguồn nuôi dưỡng và trở nên giòn, yếu, dễ bị vỡ hoặc lung lay. Cuối cùng, răng có thể phải nhổ bỏ, gây mất răng vĩnh viễn và ảnh hưởng đến chức năng ăn nhai cũng như thẩm mỹ.
Lây Lan Nhiễm Trùng
Vi khuẩn từ tủy răng thối có thể lan sang các răng kế cận, gây viêm nhiễm cho những răng khỏe mạnh khác. Nguy hiểm hơn, vi khuẩn có thể theo đường máu đi khắp cơ thể, gây ra các bệnh lý nghiêm trọng như viêm nội tâm mạc, viêm khớp, hoặc nhiễm trùng máu, đặc biệt ở những người có hệ miễn dịch yếu.
Tiêu Xương Hàm
Tình trạng nhiễm trùng kéo dài do tủy răng thối có thể gây tiêu xương ổ răng và xương hàm xung quanh vùng răng bị ảnh hưởng. Tiêu xương làm suy yếu cấu trúc nâng đỡ răng, gây lung lay răng và biến dạng khuôn mặt.
Giải Pháp Điều Trị Tủy Răng Thối
Khi phát hiện các dấu hiệu của tủy răng thối, việc thăm khám và điều trị kịp thời tại nha khoa là vô cùng quan trọng. Các phương pháp điều trị phổ biến bao gồm:
Điều Trị Tủy (Lấy Tủy)
Đây là phương pháp chính để điều trị tủy răng thối. Bác sĩ sẽ tiến hành loại bỏ phần tủy răng bị hoại tử, làm sạch và tạo hình hệ thống ống tủy, sau đó hàn kín bằng vật liệu chuyên dụng. Sau khi điều trị tủy, răng sẽ được phục hồi bằng trám răng hoặc bọc răng sứ để bảo vệ và khôi phục chức năng ăn nhai.
Nhổ Răng
Trong những trường hợp tủy răng thối quá nặng, răng bị phá hủy nghiêm trọng và không thể phục hồi bằng phương pháp điều trị tủy, bác sĩ sẽ chỉ định nhổ răng để ngăn chặn nhiễm trùng lây lan. Sau khi nhổ răng, cần xem xét các phương án phục hình như cầu răng sứ hoặc cấy ghép implant để khôi phục lại chức năng và thẩm mỹ.

Phòng Ngừa Tủy Răng Thối
Để bảo vệ răng miệng và tránh nguy cơ tủy răng thối, bạn nên thực hiện các biện pháp phòng ngừa sau:
- Chăm Sóc Răng Miệng Đúng Cách: Đánh răng ít nhất hai lần mỗi ngày với kem đánh răng chứa fluoride, sử dụng chỉ nha khoa và nước súc miệng để loại bỏ mảng bám và thức ăn thừa.
- Thăm Khám Nha Khoa Định Kỳ: Duy trì thói quen khám răng tổng quát và lấy cao răng 6 tháng/lần để phát hiện sớm và điều trị kịp thời các vấn đề như sâu răng, viêm nướu.
- Chế Độ Ăn Uống Lành Mạnh: Hạn chế thực phẩm và đồ uống chứa nhiều đường, tinh bột, ưu tiên rau xanh, hoa quả và thực phẩm giàu canxi để củng cố men răng.
- Bảo Vệ Răng Khỏi Chấn Thương: Tránh cắn các vật cứng, sử dụng máng bảo vệ răng khi chơi thể thao hoặc nếu có thói quen nghiến răng.
Tủy răng thối là một tình trạng nha khoa nghiêm trọng, có thể gây ra nhiều biến chứng nguy hiểm nếu không được điều trị kịp thời. Việc chủ động phòng ngừa và thăm khám nha khoa định kỳ là chìa khóa để bảo vệ sức khỏe răng miệng của bạn. Nếu bạn có bất kỳ dấu hiệu hoặc lo lắng nào về tủy răng, hãy liên hệ ngay với Nha Khoa Shark qua hotline 1800 2069 hoặc truy cập website Nha Khoa Shark để được tư vấn và điều trị kịp thời.
>>> Xem thêm: Trẻ chưa mọc răng từ tháng thứ 6 đến 1 tuổi có sao không?
Nhận xét
Đăng nhận xét